Taking Care of Your Dog
Cruciate ligament rupture (complete tear), partial tear or strain is the most common ligament injury in dogs. The cruciate ligaments are a major part of maintaining stability in the knee joint, and are thus often damaged when great strain is placed on the knee.
The most common acts to cause damage are car accidents and stop/ start activities such as chasing balls, jumping and chasing other animals. Damage is caused when the dog stops suddenly from a fast run.
Damage can occur at any age, although it appears that the ligament weakens with age, and the most common age to see cruciate ligament injuries is around the age of seven years. Cruciate ligament injuries are less common in cats, and are mainly associated with car accidents.
For Small Dogs (under 8kg)
Because smaller dogs don’t carry much weight on their hindlimbs, they may not require surgery- this depends on their age, general health, other injuries and activity level. Other medications can be used to control the initial soreness and help to protect the cartilages within the knee. We find some small dogs get back to normal better with surgery, others will recover well without.
For Medium and Large Breed Dogs
Assuming there are no other problems in medium to large dogs, surgery is suggested to stabilise the joint. Without the problem being surgically corrected, painful damage to the cartilages will occur and severe arthritis always develops, causing permanent and constant discomfort much sooner than normal aging would occur. There are many procedures used to try to help dogs with this problem. There are 3 that we recommend. All have their own advantages and disadvantages. Complications are uncommon but possible in all procedures, and all will have a good chance of making a good improvement to your dog’s long term comfort and use of their leg
Surgery is best performed soon after the injury has occurred- before further cartilage damage and arthritis occur. Surgery months after the injury will still stabilise the joint, but may not be able to make it pain free.
Ligament Replacement
This technique makes most sense- it replaces the broken ligament with a prosthetic ligament. The surgery is quite detailed involves removing the torn ligament, treating the cartilages (called menisci) in the joint, performing a release procedure on the cartilage to reduce further damage to it. The prosthetic ligament is then placed around he joint and the tissues around the joint tightened. Recovery takes about 2 weeks to begin using the leg again and about 3-4 months before the dog walks normally. Arthritis will occur later in life- much later than when compared to no surgery.
Changing Joint Angles
More recently there have been a series of procedures that effectively change the angles within the joint such that it doesn’t matter that the ligament is torn. They are much harder to explain but essentially control the abnormal movement in the joint. The advantages to all of them is that recvery is generally much faster and less arthritis is expected in the long term. While there are now several techniques, 2 are most pertinent:
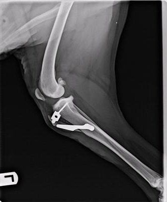
TTA (tibial tuberosity advancement) - this is now being performed at Penrith Veterinary Hospital. Special implants are used in the bone below the knee to change the effective angle of the joint. Even though it is a much more complex procedure that ligament replacement, most dogs are walking reasonably within 5-7 days of the procedure, so recovery is faster.
TPLO (tibial plateau levelling osteotomy) - this is performed at a specialist hospital and involves cutting and rotating the bone below the knee to change the joint angle. Recovery and long term is similar to the TTA procedure. The procedure is advantageous for very large dogs and dogs with particularly steep angles in their joints.
So Which Procedure Is Best For Your Dog?
| Procedure | Advantages | Disadvantages |
|---|---|---|
| Ligament Replacement | Least Expensive- Can be performed at Penrith Vet Hospital Generally a good outcome expected Complications are less complex | Slower return to use of the leg More arthritis expected in long term Less effective in larger dogs. There is a greater chance of cartilage damage after the procedure than with TPLO |
| TTA | Intermediate costing- Can be performed at Penrith Vet Hospital Generally a good outcome expected Rapid recovery to walking expected Less arthritis expected long term | More expensive than ligament replacement More complex procedure More painful initially than ligament replacement Complications are rare but more complex if they occur More prone to cartilage injury after surgery compared to TPLO |
| TPLO | Generally a good outcome expected Less chance of cartilage damage after the procedure ie. better joint stability is achieved Rapid recovery to walking expected Less arthritis expected long term | Specialist surgeon recommended. More expensive than ligament replacement More complex procedure More painful initially than ligament replacement Complications are rare but more complex if they occur |





